Radiografía de Tórax

Razones por las que se realiza el examen

La radiografía de tórax se realiza para evaluar los pulmones, el corazón y la pared torácica.

Una radiografía de tórax es generalmente el primer examen de imágenes utilizado para ayudar a diagnosticar síntomas tales como:

  • falta de aliento
  • tos fuerte o persistente
  • lesión o dolor en el pecho
  • fiebre

Los médicos utilizan el examen para ayudar a diagnosticar o controlar el tratamiento de condiciones tales como:

  • neumonía
  • insuficiencia cardiaca u otros problemas cardíacos
  • enfisema
  • cáncer de pulmón
  • colocación de líneas y tubos
  • acumulación de líquido o aire alrededor de los pulmones
  • otras enfermedades clínicas

 

Qué es

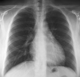
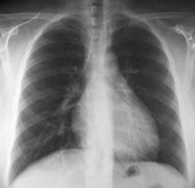
La radiografía de tórax es un estudio seguro e indoloro en el que se utiliza una pequeña cantidad de radiación para obtener una imagen del tórax del paciente. Durante el estudio, un equipo de rayos X envía un haz de radiación a través del tórax y la imagen se registra en una película especial o en una computadora.

Esta imagen incluye los órganos y las estructuras como el corazón, los pulmones, los grandes vasos sanguíneos, el diafragma, parte de las vías respiratorias, los ganglios linfáticos, la parte superior de la columna vertebral, las costillas, la clavícula y el esternón.

Las imágenes de rayos X son en blanco y negro. Las partes densas del organismo, que bloquean el paso del haz de rayos X a través del organismo, como el corazón y los huesos, se ven de color blanco en la imagen. Las partes huecas del cuerpo, como los pulmones, permiten que el haz de rayos X los atraviese y aparecen en negro.

Las radiografías están a cargo de un radiólogo o técnico en rayos X. En general, se toman dos radiografías: una desde la parte posterior de la espalda si el niño es lo suficientemente grande como para quedarse parado para la radiografía y otra desde el costado. En el caso de los niños más pequeños se toma una imagen del frente del tórax así como del costado.

Por qué se realiza

Las radiografías de tórax se utilizan para ayudar a detectar la causa de los síntomas como la tos, la falta de aire o el dolor de pecho. Es posible detectar señales de asma, neumonía, un pulmón colapsado, problemas cardíacos (como el corazón agrandado), costillas rotas o daños en los pulmones después de una lesión.

Las radiografías de tórax pueden revelar pequeños objetos metálicos (como monedas) que el paciente haya tragado. También pueden ayudar a confirmar si los conductos médicos se han colocado correctamente en los pulmones, el corazón, los vasos sanguíneos o el estómago.

 

radiografias a domicilio zona norte, radiografias a domicilio zona sur, rayos x a domicilio estado de mexico, radiografias a domicilio en estado de mexico, radiografias 24 horas df, radiologo a domicilio, radiografias a domicilio precio, Radiografía de Cráneo, Radiografía de columna cervical, Radiografía de columna Dorsal,Radiografía de Columna Lumbar, Tele de Tórax, Tórax Óseo, Radiografía de Hombros, Radiografía de brazo, Radiografía de Antebrazo, Radiografía de codo, Radiografía de Mano, Radiografía de Cadera, Radiografía de Abdomen, Radiografía de Pelvis, Radiografía Fémur, Radiografía de Rodillas, Radiografía de piernas (tibia y peroné), Radiografía de Tobillos, Transquirurgico, Control de Catéter, Radiografía de Recién Nacido.

Versión para imprimir | Mapa del sitio
© Servicios Médicos Gabriel 2026 · Atención médica a domicilio en toda la republica Mexicana

Llamar